FIGURE
Fig. 69
- ID
- ZDB-FIG-140214-43
- Publication
- Hutcheson et al., 2013 - Enhancer Trap Mutants, Gal4 Project
Fig. 69
|
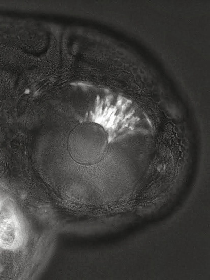
Larvae transgenic for Et(Gal4-VP16,myl7:GFP)zc1016a and Tg(UAS-E1b:NfsB-mCherry)c264 express mCherry in the dorsal retina. |
Expression Data
| Gene: | |
|---|---|
| Fish: | |
| Anatomical Term: | |
| Stage: | Long-pec |
Expression Detail
Antibody Labeling
Phenotype Data
Phenotype Detail
Acknowledgments
This image is the copyrighted work of the attributed author or publisher, and
ZFIN has permission only to display this image to its users.
Additional permissions should be obtained from the applicable author or publisher of the image.