IMAGE

Fig. 5

ID
ZDB-IMAGE-050812-4
Source
Figures for Sadler et al., 2005
Image
Figure Caption

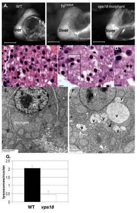
Fig. 5 Mutation of vps18 results in vesicle accumulation and lysosome depletion in hepatocytes. (A) hi2499A mutants and vps18 morphants develop hepatomegaly. Scale bar: 100 µm. (B-D) Hematoxylin and Eosin staining of day 5 wild-type (B) and vps18 mutant (C,D) livers. Hepatocytes in mutant embryos are large and accumulate vacuoles (arrows in D). Boxed area in C is enlarged in D. Scale bar: 5 µm. (E,F) TEM of day 5 wild-type (E) and vps18 (F) hepatocytes shows large, membrane-bound structures proteinacious material and debris, indicative of vacuoles (v) in the mutants. n, nucleus. (G) vps18 mutation reduces the number of lysosomes in hepatocytes. Error bars indicate standard error of the mean.

Figure Data
Acknowledgments
This image is the copyrighted work of the attributed author or publisher, and ZFIN has permission only to display this image to its users. Additional permissions should be obtained from the applicable author or publisher of the image. Full text @ Development