IMAGE

Fig. 6

ID
ZDB-IMAGE-060620-17
Genes
Source
Figures for Alt et al., 2006
Image
Figure Caption

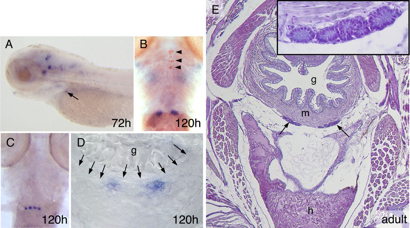
Fig. 6 calca is expressed in the ultimobranchial bodies of zebrafish. A-D: calca expression (blue) in zebrafish larvae. Stages, bottom right. A: Expression in the brain and in the ultimobranchial bodies (arrow), lateral view, anterior to the left. B: Double staining with thyroglobulin (TG) immunostaining (arrowheads). C: A specimen with four ultimobranchial bodies instead of the usual two as in B. B and C are ventral views, anterior to the top. D: Cross-section on the level of the ultimobranchial bodies, note the muscle layer (arrows) around the gut that is still filled with yolk. E: Position of the ultimobranchial bodies in the adult zebrafish. Hematoxylin and eosin staining, section on the level of the sinus venosus of the heart. Inset: A close up of the ultimobranchial bodies visualizes their glandular appearance and organization as follicular epithelia. g, gut; h, heart; m, muscle layer of the gut.

Figure Data
Acknowledgments
This image is the copyrighted work of the attributed author or publisher, and ZFIN has permission only to display this image to its users. Additional permissions should be obtained from the applicable author or publisher of the image. Full text @ Dev. Dyn.