IMAGE

Fig. 3

ID
ZDB-IMAGE-080908-20
Genes
Source
Figures for Kapsimali et al., 2007
Image
Figure Caption

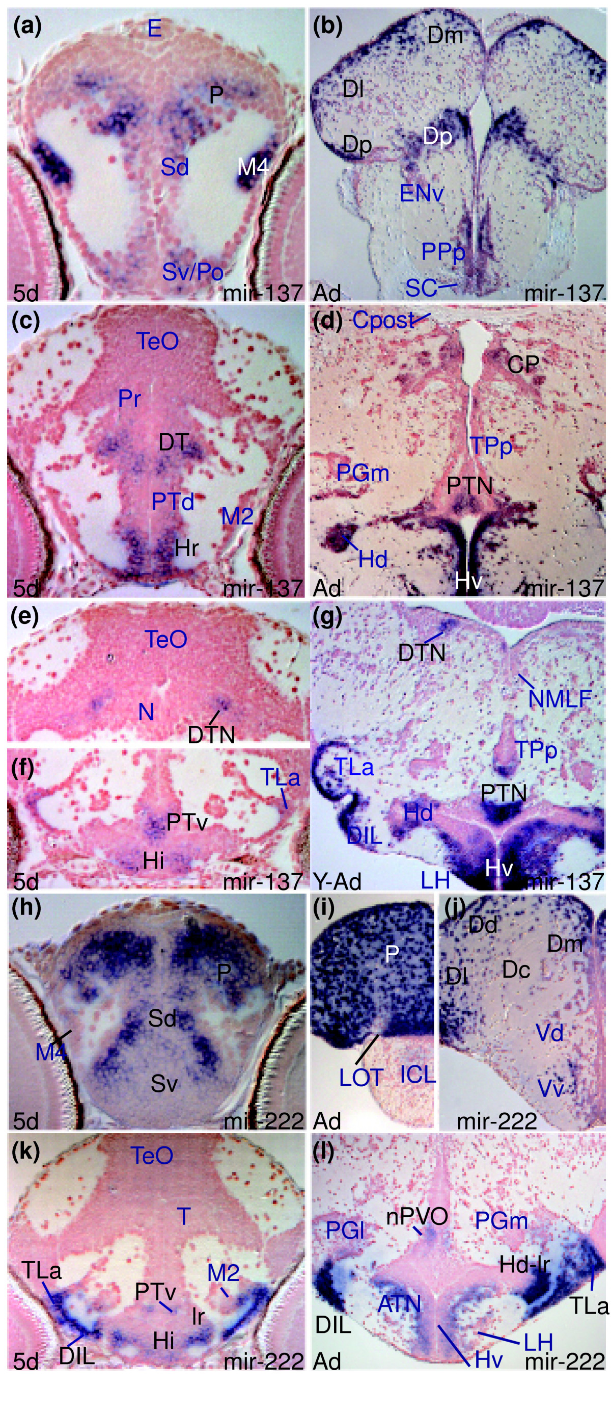
Fig. 3 miR-137 and miR-222 expression is conserved between larval and adult brain. (a,c,e,f) miR-137 expression in the larval caudal telencephalon (a), diencephalon (c), dorsal midbrain (e) and hypothalamus (f). (b,d,g) miR-137 expression in adult brain sections at levels corresponding to the embryonic sections shown in (a), (c) and (e/f), respectively. (h,k) miR-222 expression in the larval telencephalic pallium (P) and subpallium (Sd, Sv), hypothalamus (Hi, TLa, DIL, lr) and posterior tuberculum (PTv, M2). (i,j,l) miR-222 expression in corresponding adult nuclei in the pallium (P, Dm, Dl, Dd, Dc), subpallium (Vd, Vv), hypothalamus (ATN, LH, TLa, DIL, Hd-lr) and posterior tuberculum (nPVO, PGl).

Figure Data
Acknowledgments
This image is the copyrighted work of the attributed author or publisher, and ZFIN has permission only to display this image to its users. Additional permissions should be obtained from the applicable author or publisher of the image.
Open Access.
Full text @ Genome Biol.