IMAGE

Fig. S2

ID
ZDB-IMAGE-090504-17
Genes
Source
Figures for Zeng et al., 2009
Image
Figure Caption

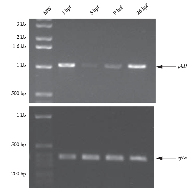
Fig. S2 The expression levels of pld1 mRNA detected by RT-PCR at the indicated development stages. ef1a primers were used as a control in RT-PCR reaction.

Figure Data
Acknowledgments
This image is the copyrighted work of the attributed author or publisher, and ZFIN has permission only to display this image to its users. Additional permissions should be obtained from the applicable author or publisher of the image.

Reprinted from Developmental Biology, 328(2), Zeng, X.X., Zheng, X., Xiang, Y., Cho, H.P., Jessen, J.R., Zhong, T.P., Solnica-Krezel, L., and Brown, H.A., Phospholipase D1 is required for angiogenesis of intersegmental blood vessels in zebrafish, 363-376, Copyright (2009) with permission from Elsevier. Full text @ Dev. Biol.