IMAGE

Fig. 1

ID
ZDB-IMAGE-140416-44
Source
Figures for Uribe et al., 2013
Image
Figure Caption

Fig. 1

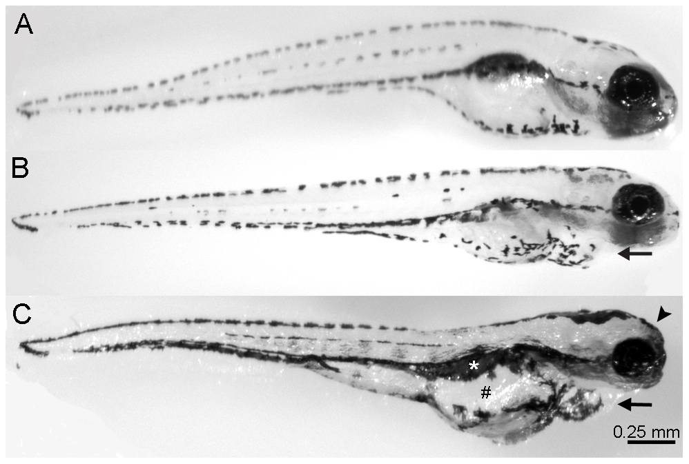
Ethanol treatment affects the development of larval zebrafish.

Zebrafish embryos were raised in varying concentrations of ethanol (0% through 1.5% by volume) from 2 days post-fertilization (dpf) to 5 dpf, fixed, and imaged. (A) Untreated control animals appear normal. (B) 1% ethanol-treated animals have a slightly swollen heart (arrow) and no swim bladder but otherwise appear normal. (C) Increasing the concentration of ethanol treatment to 1.5% resulted in embryos exhibiting swollen hearts (arrow), swollen guts (#), missing a swim bladder (white asterisk), and inhibited craniofacial development (arrowhead), which is similar to the phenotype exhibited by children with FAS.

Figure Data
Acknowledgments
This image is the copyrighted work of the attributed author or publisher, and ZFIN has permission only to display this image to its users. Additional permissions should be obtained from the applicable author or publisher of the image. Full text @ PLoS One