IMAGE

Fig. 1

ID
ZDB-IMAGE-150505-15
Source
Figures for Ito et al., 2014
Image
Figure Caption

Fig. 1

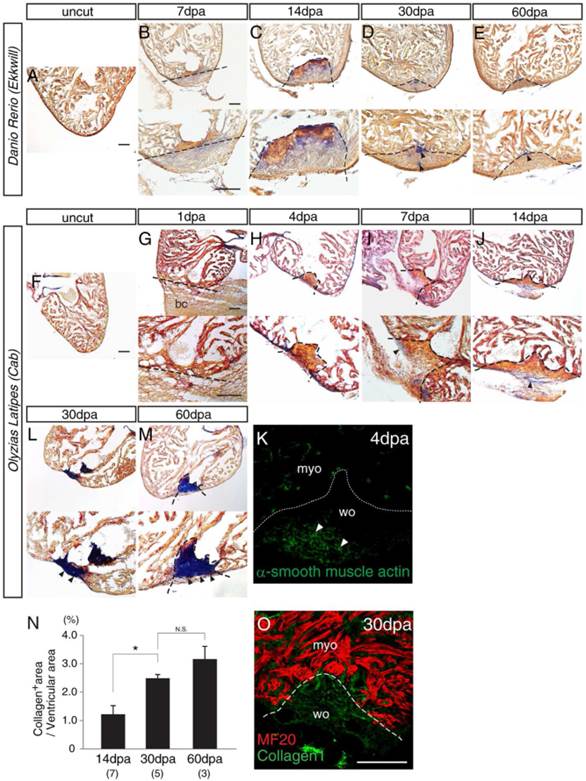
Comparative analysis of the repair process in zebrafish and medaka hearts after ventricular resection. A–L: Cryosections of fish hearts stained with acid fuchsin orange G (AFOG; fibrin, orange; collagen, blue). A–E: Uncut (A) and injured Ekkwill zebrafish hearts (B–E). Fibrin tissues were observed at both 7 (B) and 14 dpa (C), but were absorbed by 30 dpa (D). Collagen was seen from 7 dpa (B) and then was mostly absorbed by 60 dpa (E). F–M: Uncut (F) and injured (G–M) Cab medaka hearts. A blood clot was seen at 1 dpa (G) and was replaced by fibrin by 4 dpa (H). The fibrin was absorbed by 30 dpa (L). Collagen began to accumulate from 7 dpa (I), and this accumulation increased thereafter (J, L, and M). Dense collagenous tissue covered the wound area by 60 dpa (M). Black arrowheads indicate collagen tissues. K: Immunohistochemistry with anti-α-smooth muscle actin antibodies at 4 dpa. White arrowheads indicate putative myofibroblasts. N: Quantification of collagen-positive area ratio indicates scar formation at 30 and 60 dpa. Student′s t-test, *p < 0.05. N.S., not significant. Numbers in parentheses indicate the sample number. O: Immunohistochemistry of MF20 for medaka cardiomyocytes and with anti-collagen I antibodies in the injured area at 30 dpa. The dashed line indicates the approximate injury border. bc, blood clot; myo, myocardium; wo, wound area. Shown are representative images from experiments repeated > 3 times. Scale bars = 100 µm.

Acknowledgments
This image is the copyrighted work of the attributed author or publisher, and ZFIN has permission only to display this image to its users. Additional permissions should be obtained from the applicable author or publisher of the image. Full text @ Dev. Dyn.