IMAGE

Fig. S6

ID
ZDB-IMAGE-151106-3
Genes
Source
Figures for Sun et al., 2015
Image
Figure Caption

Fig. S6

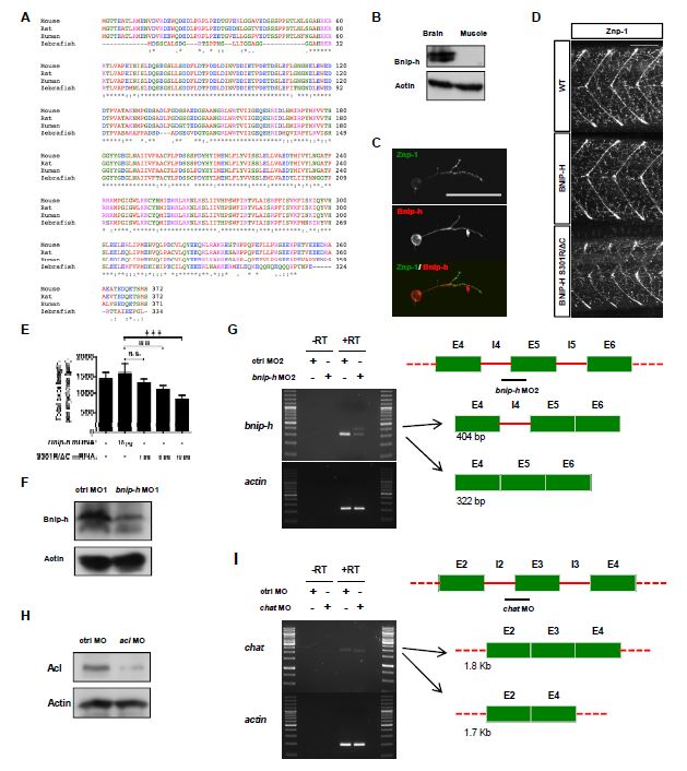
Knockdown of Bnip-h Causes Abnormal Axon Growth of Motor Neurons in Zebrafish through Cholinergic Signaling, Related to Figure 6

(A) Clustal W multiple sequence alignment of zebrafish, human, mouse and rat BNIP-H proteins (The asterisks indicate the conserved amino acids).

(B) Bnip-h is expressed in brain but not in muscle of adult fish.

(C) Bnip-h is expressed in zebrafish motor neurons. The primary motor neurons were isolated from zebrafish larvae at 24 hpf and cultured for additional 48 hours before fixation and staining. Scale bar, 50 µm.

(D and E) BNIP-H S301R/ΔC mutant inhibits axon outgrowth of motor neurons in zebrafish larvae at 72 hpf. Quantification was done as in Figure 6B. Error bars represent SD. **p < 0.01; ***p < 0.001; N. S., not significant. Scale bar, 100 µm.

(F) Bnip-h expression is reduced by the injection of bnip-h MO1 (translation-blocking morpholino) at 72 hpf.

(G) The pre-mRNA splicing of bnip-h is disrupted by the injection of bnip-h MO2 (splice-site morpholino) at 72 hpf. Right: a schematic of wild type and abnormal bnip-h transcripts, based on the sequences of PCR products.

(H) Acl expression is reduced by the injection of acl MO (translation-blocking morpholino) at 72 hpf.

(I) The pre-mRNA splicing of chat is disrupted by the injection of chat MO (splice-site morpholino) at 72 hpf. Right: a schematic of wild type and abnormal chat transcripts, based on the sequences of PCR products.

Figure Data
Acknowledgments
This image is the copyrighted work of the attributed author or publisher, and ZFIN has permission only to display this image to its users. Additional permissions should be obtained from the applicable author or publisher of the image.

Reprinted from Developmental Cell, 34(5), Sun, J., Pan, C.Q., Chew, T.W., Liang, F., Burmeister, M., Low, B.C., BNIP-H Recruits the Cholinergic Machinery to Neurite Terminals to Promote Acetylcholine Signaling and Neuritogenesis, 555-68, Copyright (2015) with permission from Elsevier. Full text @ Dev. Cell