IMAGE

Fig. 3

ID
ZDB-IMAGE-180920-21
Genes
Source
Figures for Ledwon et al., 2018
Image
Figure Caption

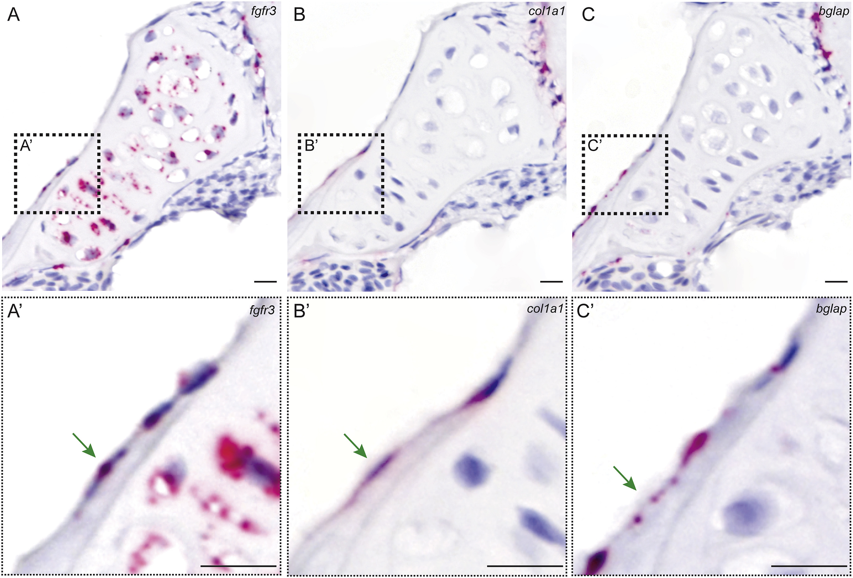
Fig. 3

Comparative analysis of in situ hybridization for fgfr3, col1a1, and bglap. Pterosphenoid cartilage at 14 wpf (SL 20 mm) specimen, 64x magnification. A) fgfr3; B) col1a; C) bglap. Inset windows (A′, B′, C′) are digital magnifications to illustrate cells positive for the corresponding probes indicated by green arrows. Dashed boxes in upper panels are magnified and shown in the lower panels. Scale bar = 20 μm.

Figure Data
Acknowledgments
This image is the copyrighted work of the attributed author or publisher, and ZFIN has permission only to display this image to its users. Additional permissions should be obtained from the applicable author or publisher of the image.

Reprinted from Gene expression patterns : GEP, 29, Ledwon, J.K., Turin, S.Y., Gosain, A.K., Topczewska, J.M., The expression of fgfr3 in the zebrafish head, 32-38, Copyright (2018) with permission from Elsevier. Full text @ Gene Expr. Patterns