Image
Figure Caption

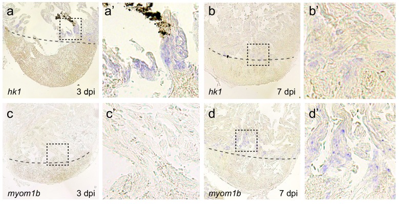
Figure 3—figure supplement 1. Induction of <italic>hexokinase1</italic> expression precedes expression of <italic>myomesin1b</italic>.

In situ hybridization for the glycolysis gene hexokinase1 (a,b) and the embryonic cardiac gene myomesin1b (c,d) on sections of injured zebrafish hearts at 3 dpi (a,c) and 7 dpi (b,d). While hk1 expression in border zone cardiomyocytes was visible at 3 dpi and 7 dpi, myom1b expression was visible at 7 dpi but undetectable at 3dpi. (a’,b’,c’ and d’) show zoom-in of boxed areas in corresponding panels. Dashed line indicates the injury site.

Acknowledgments
This image is the copyrighted work of the attributed author or publisher, and ZFIN has permission only to display this image to its users. Additional permissions should be obtained from the applicable author or publisher of the image. Full text @ Elife