IMAGE

Figure 3

ID
ZDB-IMAGE-211103-11
Source
Figures for Lee et al., 2021
Image
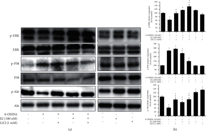
Figure Caption

Figure 3

Effect of lithium chloride and E2 on 6-OHDA-induced downregulation of phospho-extracellular signal-regulated kinases (p-ERK), phospho-Akt (p-Akt), and p-P38 in SH-SY5Y cells. (a) SH-SY5Y cells were pretreated with 1 mM LiCl for 1 hr in the absence or presence of 100 nM E2 and then challenged with 20 μM 6-OHDA for 1 hr. Western blotting for p-ERK, p-Akt, and p-P38 of the control, 6-OHDA, 6-OHDA plus 1 mM LiCl, 6-OHDA plus 100 nM E2, 6-OHDA plus 1 mM LiCl and 100 nM E2, 100 nM E2 alone and 1 mM LiCl alone groups. (b) The quantification results of p-ERK, p-Akt, and p-P38 relative density are shown. The value corresponds to the mean ± SEM of three independent experiments that have been done in triplicate (n = 9). p < 0.05 compared with the control group; #p < 0.05 compared with the 6-OHDA group.

Acknowledgments
This image is the copyrighted work of the attributed author or publisher, and ZFIN has permission only to display this image to its users. Additional permissions should be obtained from the applicable author or publisher of the image. Full text @ Parkinsons Dis