IMAGE

Figure 3

ID
ZDB-IMAGE-230331-68
Source
Figures for Yuan et al., 2023
Image
Figure Caption

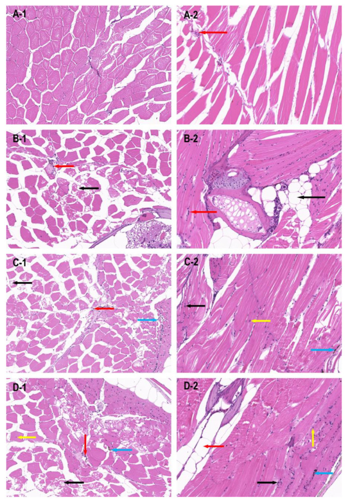
Figure 3

HE staining results of dorsal muscle tissue of zebrafish in different groups (20×).The dorsal muscle tissue was damaged when the miR-196a-1 and miR-196b genes were knocked out. (A) wild-type zebrafish; (B): zebrafish with miR-196a-1 gene knockout; (C): miR-196b gene knockout zebrafish; (D): zebrafish with miR-196a-1 and miR-196b gene knockout; -1 is the transverse section of muscle tissue, -2 is the longitudinal section of muscle tissue. The red arrow points to inflammatory cell infiltration, the black arrow points to vacuolar degeneration of muscle fibers, the blue arrow points to melanin deposition, the yellow arrow points to inward nuclear movement.

Figure Data
Acknowledgments
This image is the copyrighted work of the attributed author or publisher, and ZFIN has permission only to display this image to its users. Additional permissions should be obtained from the applicable author or publisher of the image. Full text @ Biomolecules