IMAGE

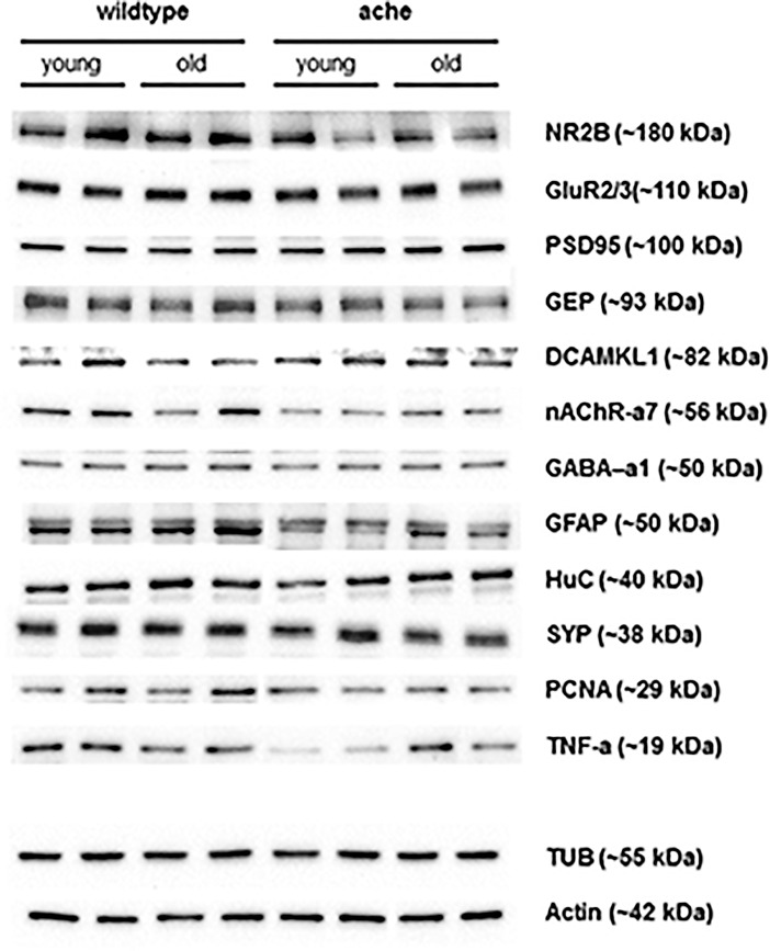
Fig. 2.

ID
ZDB-IMAGE-231212-59
Source
Figures for Karoglu-Eravsar et al., 2023
Image
Figure Caption

Fig. 2.

Representative Western blot images for cellular, synaptic, and inflammatory proteins that were used in the current study to examine the effects of genotype and age. All antibodies gave bands at their expected molecular weights.

Acknowledgments
This image is the copyrighted work of the attributed author or publisher, and ZFIN has permission only to display this image to its users. Additional permissions should be obtained from the applicable author or publisher of the image. Full text @ Gerontology