IMAGE

Fig. 1

ID
ZDB-IMAGE-240417-14
Source
Figures for Lin et al., 2023
Image
Figure Caption

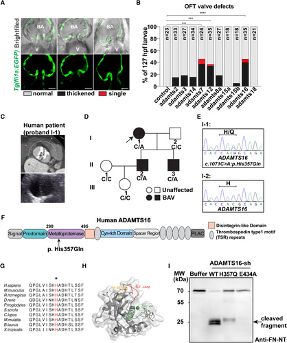
Fig. 1 ADAMTS16 was identified as a candidate gene involved in aortic valve abnormalities. A, Representative images different phenotypes observed in the 10 family adamts gene-targeted larval zebrafish morphants, showing either thickened (middle column, 1 image selected from 1 adamts16 morphant) or single (right column selected from one adamts7 morphant) OFT valves compared with normal OFT valves (left column from one control morphant) at 127 hpf. Scale bars=20 µm. B, Percentage occurrence of each OFT valve phenotype (normal valve in blank, thickened valve in black or single valve in red) observed in 127 hpf zebrafish larvae from each adamts gene morphant (the numbers analyzed are as follows: control=23; adamts2=33; adamts3=27; adamts14=34; adamts7=24; adamts12=35; adamts8a=27; adamts15a=18; adamts15b=18; adamts16=35; and adamts18=21). P values were calculated using the Yates χ2 or χ2 test or Fisher exact test as appropriate. ****P<0.0001; ***P<0.001. Zebrafish larvae with severe pericardial edema were excluded to minimize the risk of secondary phenotypes. C, Contrast computed tomography of the proband (I-1) indicated type 0 BAV, severe calcification, and moderately dilated ascending aorta with a diameter of 40 mm. D, Pedigree and genotype of each family member of the proband (I-1). Arrow indicates the proband; squares indicate male family members; circles indicate female members; black fillings indicate family members diagnosed with BAV; diagonal lines indicate deceased family members. E, Heterozygous missense variant ADAMTS16 c.1071C>A was validated through Sanger sequencing. F, Schematic diagram of the ADAMTS16 protein domains showing the location of ADAMTS16 p. H357Q variant. G, The affected histidine (H, in red highlighted by an asterisk) in ADAMTS16 is within a highly conserved region across various species. H, Predicted protein structure of the metalloproteinase domain of ADAMTS16 modeled by AlphaFold2: catalytic site and zinc ion (green), S2’-loop (red), and affected amino acid (orange). I, Western blot analysis of the fibronectin N-terminal 70-kDa peptide incubated with recombinant ADAMTS16-sh protein (WT, H357Q, E434A) shows fewer 30-kDa fibronectin fragments released by ADAMTS16 H357Q compared with ADAMTS16 WT (black arrow). A indicates alanine; ADAMTS, a disintegrin and metalloproteinase with thrombospondin motifs; BAV, bicuspid aortic valve; E, glutamate; FN, fibronectin; Gln, glutamine; H, histidine; hpf, hours postfertilization; MW, molecular weight; NT, N-terminal; OFT, outflow tract; Q, glutamine; and WT, wild-type.

Figure Data
Acknowledgments
This image is the copyrighted work of the attributed author or publisher, and ZFIN has permission only to display this image to its users. Additional permissions should be obtained from the applicable author or publisher of the image. Full text @ Circulation