FIGURE SUMMARY
Title

The zebrafish vitronectin receptor: Characterization of integrin alphaV and beta3 expression patterns in early vertebrate development

Authors
Ablooglu, A.J., Kang, J., Handin, R.I., Traver, D., and Shattil, S.J.
Source
Full text @ Dev. Dyn.

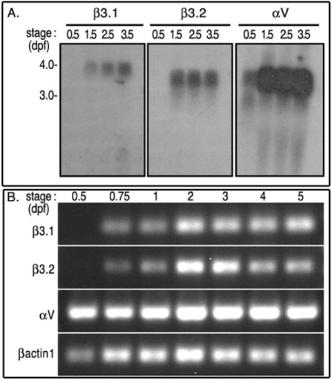
mRNA expression profiles of αV, β3.1, and β3.2. A: Approximately 15 μgr total RNA extracted from 0.5, 1.5, 2.5, and 3.5 dpf zebrafish larva, was resolved in denaturing agarose gel, and processed for Northern blot analysis. B: The expression of these integrins analyzed by semi-quantitative RT-PCR. Total RNAs were extracted from 3-5 somite (0.5 dpf), 16-18 somites (0.75 dpf), 1 dpf, 2 dpf embryos, and later from 3 dpf, 4 dpf, and 5.5 dpf swimming larva. RT-PCR reactions were done with sequence-specific primers against αV (172 bp), β3.1 (312 bp), and β3.2 (385 bp). RT-PCR reactions were also monitored with amplification of zebrafish βactin1 fragment (172 bp), which was used as a positive loading control.

EXPRESSION / LABELING:
Genes:
Fish:
Anatomical Term:
Stage Range: 5-9 somites to Day 5

Co-immunoprecipitation of zebrafish αV, αIIb, and β3.1 subunit in CHO cells. C-terminal α subunits fused to GFP (open arrow, ∼180 kDa), or β3.1 subunit fused to DsRed monomer (black arrow, ∼130 kDa) were expressed in CHO cells. Lysates were incubated with anti-GFP antibody (IP:GFP, lanes 1 and 2), and with isotype control antibody, rabbit IgG (IgG, lanes 3 and 4). Co-immunoprecipitated samples (lanes 1-4), and whole cell lysates (lanes 5-8) were Western blotted with dsRed antibody (A) or GFP antibody (B). CHO cells were transfected in the following order: Lanes 1, 3, and 6, αIIb-GFP + β3.1-dsRed; Lanes 2, 4, and 5, αV-GFP + β3.1-dsRed; Lane 7, DsRed monomer; Lane 8, GFP.

Expression of αV in wild type zebrafish. Embryonic and larval stages: (A) 2-cell; (B) 1 somite; (C) 1 dpf; (D) 2.5 dpf; (E,F) 3.0 dpf; (G-L) 3.5 dpf. Marked expression fields: ears (asterisk), AER of pectoral fins (open arrowhead), bilateral expression in the deep posterior, ventral pharyngeal region (black arrows), intestine (open arrow), and swim bladder (s). Transverse sections of a 3.5-dpf larva at the level of heart (I, J), and at the level of eye (K). I: αV expression in the ventricle of embryonic heart tube (black arrowhead). J: Double ISH larva, cmlc2 (red), αV (dark purple). K: αV expression in brain: LVe, lateral recess ventricle of hypothalamus; Pr, pretectum; PTv, ventral part of posterior tuberculum; SCO, subcommissural organ. L: Longer staining of 3.5 dpf larva: Intersegmental vessels (white arrow); heart ventricle (black arrowhead). Relative locations for sections in I, J, and K are indicated with gray lines in L. Lateral views of embryos, anterior to the left, are shown in C, F, H, and L. Larva in F and H were slightly tilted. Dorsal views of the embryos, anterior to the left, are shown in B, D, E, and G. Scale bars = 100 μm in A-H and L, and 20 μm in I-K.

Expression of β3.1 (A-I), and β3.2 (J-M) in wild type zebrafish. Embryonic and larval stages: (A, J) 1 dpf; (B) 1.5 dpf; (C, K) 2.5 dpf; (D, E, F, L) 3.0 dpf; (G, M) 3.5 dpf; (H, I) 5 dpf. Marked expression fields are similar to Figure 3, except in K where β3.2 expression in pectoral fins is marked with open arrow. Transverse sections at the level of eye (F, I), and at the level of heart (G). F: β3.1 expression in 3.0 dpf zebrafish brain. m, medial tectal proliferation zone; e, eye. G: At 3.5 dpf β3.1 expression is present in the ventricle of embryonic heart tube (black arrowhead). I: β3.1 expression in 5.0 dpf zebrafish brain. DT, dorsal thalamus; e, eye; PT, posterior tuberculum; TeO, tectum opticum. Lateral views of embryos, anterior to the left, are shown in A, B, D, H, and J. Larva in D was slightly tilted to visualize bilateral expression in the deep posterior, ventral pharyngeal region. M: Two images of the same specimen, divided by a black line, at slightly different focal planes were taken to show β3.2 expression fields in the left and right halves of the deep posterior, ventral pharyngeal region: Ventral view of the specimen, anterior to the top, centered at the fifth ceratobranchial. Dorsal views of the embryos are shown in C, E, K, and L. Scale bars = 100 μm in A-E, H, J-L, 20 μm in F, G, I, and M.

A-K:αV and β3.1 are expressed in the dental epithelium of the pharyngeal tooth. A: Camera lucida drawing of 3.5 dpf larval transverse sections. Purple box represents the location of the images in the transverse sections in C-H, and K. 4V1, first forming tooth; f, floor plate; n, neural tube; nc, notochord; oc, otic capsule; y, yolk. B: Diagram of the pharyngeal cartilages in 3.5 dpf young larva, ventral view. Black box representing the location of the images in I and J. 3V1/5V1, second forming teeth pair; bb, basibranchials; bh, basihyal; cb, ceratobranchials; ch, ceratohyal; hs, hyosymplectic; mc, Meckel's catilage; pq, platoquadrate. Expression of β3.1 (C,D), αV (D,E, G,H, J,K), pitx2 (F,G), dlx2b (I,J), cx43 (K) in wild type zebrafish. Double ISH samples: (D) αV (orange-red), β3.1 (dark purple); (G) αV (orange-red), pitx2 (dark purple); (J) αV (orange-red), and dlx2b (dark purple); (K) αV (dark purple), and cx43 (orange-red). Scale bars = 20 μm.

Spatial and temporal expression patterns of αV, dlx2b, and cx43. A-L: Ventral views of specimens centered at the fifth ceratobranchial, focused at the level of teeth, anterior to the top and oriented as in Figure 5B. A, E, I: Alcian blue stained cartilages. Whole mount ISH specimens probed with αV (B, F, J), dlx2b (C, G, K), and cx43 (D, H, L). Larval stages are identical for each row: 3.0 dpf (A-D); 3.5 dpf (E-H); 4.0 dpf (I-L). Scale bars = 20 μm.

EXPRESSION / LABELING:
Genes:
Fish:
Anatomical Terms:
Stage Range: Protruding-mouth to Day 4

Unillustrated author statements

EXPRESSION / LABELING:
Genes:
Fish:
Anatomical Term:
Stage: Prim-5
Acknowledgments
This image is the copyrighted work of the attributed author or publisher, and ZFIN has permission only to display this image to its users. Additional permissions should be obtained from the applicable author or publisher of the image. Full text @ Dev. Dyn.