FIGURE SUMMARY
Title

Unexpected Neuronal Protection of SU5416 against 1-Methyl-4-Phenylpyridinium Ion-Induced Toxicity via Inhibiting Neuronal Nitric Oxide Synthase

Authors
Cui, W., Zhang, Z., Li, W., Mak, S., Hu, S., Zhang, H., Yuan, S., Rong, J., Choi, T.C., Lee, S.M., and Han, Y.
Source
Full text @ PLoS One

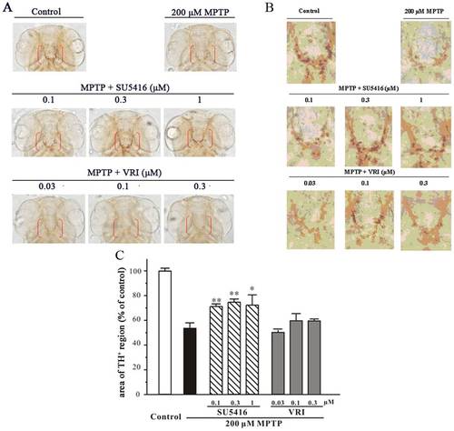
SU5416 protects against MPTP-induced TH+ region area decrease in zebrafish.

One dpf zebrafish embryos were co-incubated with 200 μM MPTP and SU5416, VRI or 0.3% DMSO (vehicle control) at the indicated concentrations for 2 days. After treatment, zebrafish were collected to perform whole-mount immunohistochemistry. (A) Representative pictures of whole-mount immunostaining of zebrafish brain from different treatment groups. (B) Magnification of diencephalic area of zebrafish larval (indicated by red bracket in Fig. 2A). (C) Statistical analysis of TH+ region area in each treatment group (20 fish embryos per group). Data, expressed as percentage of control, were the mean ± SEM of three separate experiments; ##p<0.01 versus control; *p<0.05 and **p<0.01 versus MPTP group (Turkey’s test).

SU5416 increases the number of dopaminergic neurons in MPTP-treated zebrafish larval.

One dpf zebrafish embryos were co-incubated with 200 μM MPTP and 1 μM SU5416 or 0.3% DMSO (vehicle control) for 2 days. After treatment, zebrafish were collected to perform paraffin-embedding, sectioning and immunostaining. (A) Representative picture of immunostaining of zebrafish section. (B) Statistical analysis of the number of TH-positive neurons in each treatment group (n = 12 fish/group). *p<0.05 versus MPTP group (Turkey’s test).

Anti-angiogenic effects of SU5416 and VRI in zebrafish.

One dpf Tg(fli-1:EGFP) transgenic zebrafish embryos were treated with SU5416, VRI or DMSO (vehicle control) at the indicated concentrations for 2 days. After treatment, intersegmental-vessel formations were observed under fluorescence microscopy. Deficit of blood vessels was indicated by yellow asterisks.

Acknowledgments
This image is the copyrighted work of the attributed author or publisher, and ZFIN has permission only to display this image to its users. Additional permissions should be obtained from the applicable author or publisher of the image. Full text @ PLoS One