FIGURE SUMMARY
Title

Molecular Cloning and Functional Characterization of Mannose Receptor in Zebra Fish (Danio rerio) during Infection with Aeromonas sobria

Authors
Zheng, F., Asim, M., Lan, J., Zhao, L., Wei, S., Chen, N., Liu, X., Zhou, Y., Lin, L.
Source
Full text @ Int. J. Mol. Sci.

ZFIN is incorporating published figure images and captions as part of an ongoing project. Figures from some publications have not yet been curated, or are not available for display because of copyright restrictions.

EXPRESSION / LABELING:
Gene:
Fish:
Anatomical Terms:
Stage: Adult

ZFIN is incorporating published figure images and captions as part of an ongoing project. Figures from some publications have not yet been curated, or are not available for display because of copyright restrictions.

EXPRESSION / LABELING:
Genes:
Fish:
Condition:
Anatomical Terms:
Stage: Adult
PHENOTYPE:
Fish:
Condition:
Observed In:
Stage: Adult

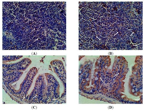
Distribution of MR in spleen and intestine of zebra fish detected with Immunohistochemistry after Aeromonas sobria infection. (A) spleen of control fish; (B) spleen of infected fish; (C) intestine of control fish; (D) intestine of infected fish; White arrows indicated positive signal. Scale bar = 20 µm.

EXPRESSION / LABELING:
Antibody:
Fish:
Condition:
Anatomical Terms:
Stage: Adult
PHENOTYPE:
Fish:
Condition:
Observed In:
Stage: Adult
Acknowledgments
This image is the copyrighted work of the attributed author or publisher, and ZFIN has permission only to display this image to its users. Additional permissions should be obtained from the applicable author or publisher of the image. Full text @ Int. J. Mol. Sci.