FIGURE SUMMARY
Title

TANGO2-related rhabdomyolysis symptoms are associated with abnormal autophagy functioning

Authors
de Calbiac, H., Montealegre, S., Straube, M., Renault, S., Debruge, H., Chentout, L., Ciura, S., Imbard, A., Guillou, E.L., Marian, A., Goudin, N., Caccavelli, L., Fabrega, S., Hubas, A., van Endert, P., Dupont, N., Diana, J., Kabashi, E., de Lonlay, P.
Source
Full text @ Autophagy Rep

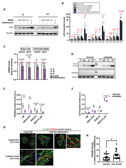
Autophagy is defective in TANGO2 patients’ primary myoblasts.

tango2 knockdown induces a RM-like phenotype in zebrafish due to autophagy defects.

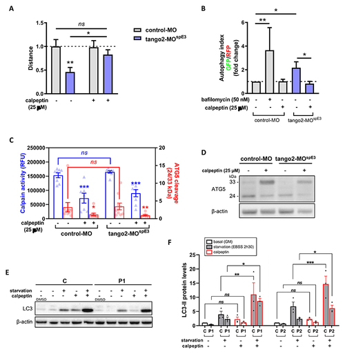
Calpeptin ameliorates TANGO2 disease features in zebrafish and in primary myoblasts.

Acknowledgments
This image is the copyrighted work of the attributed author or publisher, and ZFIN has permission only to display this image to its users. Additional permissions should be obtained from the applicable author or publisher of the image. Full text @ Autophagy Rep