FIGURE
Fig. 23
- ID
- ZDB-FIG-060522-44
- Publication
- Verreijdt et al., 2006 - Expression of the dlx gene family during formation of the cranial bones in the zebrafish (Danio rerio): Differential involvement in the visceral skeleton and braincase
- Other Figures
- All Figure Page
- Back to All Figure Page
Fig. 23
|
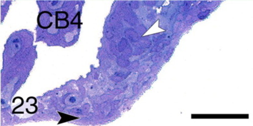
Toluidine blue-stained reference section for Figure 21. The black arrowhead indicates the mineralized branchiostegal ray 3, and the white arrowhead indicates the mesenchymal cell condensation later giving rise to the second branchiostegal ray. |
Expression Data
Expression Detail
Antibody Labeling
Phenotype Data
Phenotype Detail
Acknowledgments
This image is the copyrighted work of the attributed author or publisher, and
ZFIN has permission only to display this image to its users.
Additional permissions should be obtained from the applicable author or publisher of the image.
Full text @ Dev. Dyn.