FIGURE

Fig. 2

ID
ZDB-FIG-060628-25
Publication
Wei et al., 2004 - The zebrafish Pard3 ortholog is required for separation of the eye fields and retinal lamination
Other Figures
All Figure Page
Back to All Figure Page
Fig. 2

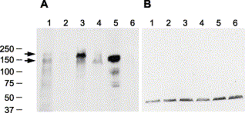
Immunoblot of Pard3 proteins. Immunoblots of protein extracts from 27 hpf embryos that were incubated with either the anti-Pard3 polyclonal antiserum (A) or anti-γ-tubulin monoclonal antibody (B), which was used as a control to confirm that equivalent amounts of protein were loaded on each lane. The lanes correspond to wild-type embryos (lane 1), embryos injected with anti-pard3 Morph-1 (lane 2), embryos co-injected with Morph-1 and mRNA encoding the 180-kDa Pard3 isoform (lane 3), embryos co-injected with Morph-1 and mRNA encoding the 150-kDa Pard3 isoform (lane 4), embryos co-injected with Morph-1 and mRNA encoding the 150-kDa Pard3 isoform fused to a six-repeat myc-epitope (which increases the protein by approximately 9 kDa, lane 5), and embryos co-injected with Morph-1 and a mRNA encoding GFP (lane 6). All mRNAs contain the β-globin 5′ and 3′ UTRs flanking the open reading frame and were transcribed in vitro. The 180- and 150-kDa Pard3 proteins are marked with arrows. The location of the BioRad molecular weight markers (in kDa) is shown to the left.

Expression Data
Gene:
Antibody:
Fish:
Knockdown Reagent:
Anatomical Term:
Stage: Prim-5

Expression Detail
Antibody Labeling
Phenotype Data

Phenotype Detail
Acknowledgments
This image is the copyrighted work of the attributed author or publisher, and ZFIN has permission only to display this image to its users. Additional permissions should be obtained from the applicable author or publisher of the image.

Reprinted from Developmental Biology, 269(1), Wei, X., Cheng, Y., Luo, Y., Shi, X., Nelson, S., and Hyde, D.R., The zebrafish Pard3 ortholog is required for separation of the eye fields and retinal lamination, 286-301, Copyright (2004) with permission from Elsevier. Full text @ Dev. Biol.