FIGURE

Fig. 2

ID
ZDB-FIG-070821-25
Publication
Hardison et al., 2005 - The zebrafish gene claudinj is essential for normal ear function and important for the formation of the otoliths
Other Figures
All Figure Page
Back to All Figure Page
Fig. 2

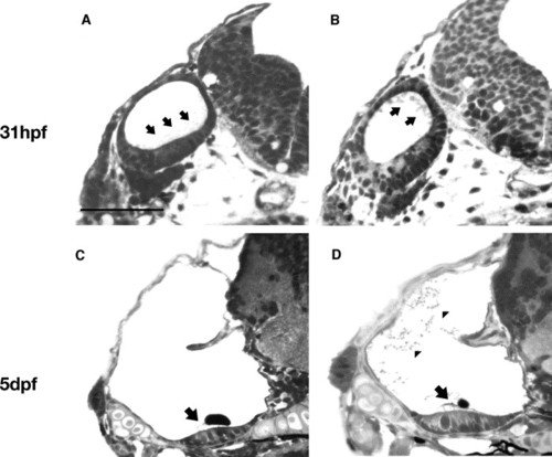
Histological sections of wildtype and cldnj embryos at 31 hpf and 5 dpf. Orientation is a cross-section of the head with the ectoderm to the left. The otic vesicle is the oval shape at 31 hpf (with the hindbrain to the right) and at 5 dpf it is the large cavity with part of the semicircular canal tissue visible as a projection into the cavity. (A) Histological cross-section through the zebrafish head of wildtype otic vesicle at 31 hpf. Black arrows indicate the ‘haze’ of otolith particles distributed along the ventral-lateral region of the vesicle. (B) cldnj mutant embryo. Otolith material appears as larger granules distributed throughout the vesicle (black arrows). (C) Wildtype ear at 5 dpf. Black arrow indicates the hair cell bundles attached to the fully formed otolith. (D) cldnj mutant ear at 5 dpf. Black arrow points to the normal appearing hair cell bundles attached to a reduced otolith. Arrowheads point to the unincorporated otolith particles still present in the endolymph. Scale bar=100 μm.

Expression Data

Expression Detail
Antibody Labeling
Phenotype Data

Phenotype Detail
Acknowledgments
This image is the copyrighted work of the attributed author or publisher, and ZFIN has permission only to display this image to its users. Additional permissions should be obtained from the applicable author or publisher of the image.

Reprinted from Mechanisms of Development, 122(7-8), Hardison, A.L., Lichten, L., Banerjee-Basu, S., Becker, T.S., and Burgess, S.M., The zebrafish gene claudinj is essential for normal ear function and important for the formation of the otoliths, 949-958, Copyright (2005) with permission from Elsevier. Full text @ Mech. Dev.