FIGURE

Fig. 1

ID
ZDB-FIG-080403-24
Publication
Koudijs et al., 2008 - Genetic analysis of two zebrafish patched homologues identifies novel roles for the hedgehog signaling pathway
Other Figures
All Figure Page
Back to All Figure Page
Fig. 1

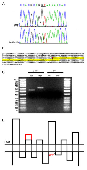
Identification and characterization of a splice-donor mutation in the zebrafish ptc1 gene. A splice donor mutation was identified in the first base pair of intron 10, changing the consensus sequence GT to AT, probably affecting splicing (A). The intron after exon 10, shown in lower case in yellow, contains 81 bp, and the splice donor position mutated in ptc1hu1602 is indicated in red (B). RT-PCR analysis confirms that splicing is affected as a result of the mutation, which extends the transcript with 81 bp compared to wild type (C). Schematic representation of the Ptc1 protein, showing the 12 transmembrane domains (black dots), and the extension of the second extracellular loop with 27 AA in red. The blw mutation is positioned directly after the eighth transmembrane domain of the protein (D).

Expression Data

Expression Detail
Antibody Labeling
Phenotype Data

Phenotype Detail
Acknowledgments
This image is the copyrighted work of the attributed author or publisher, and ZFIN has permission only to display this image to its users. Additional permissions should be obtained from the applicable author or publisher of the image. Full text @ BMC Dev. Biol.