Fig. 8
- ID
- ZDB-FIG-080617-12
- Publication
- Anderson et al., 2008 - Loss of unc45a precipitates arteriovenous shunting in the aortic arches
- Other Figures
- All Figure Page
- Back to All Figure Page
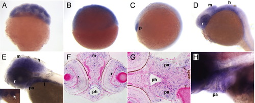
| Developmental expression patterns of unc45a mRNA. In situ hybridization reveals diffuse, ubiquitous unc45a expression at 64-cell (A) and shield stage (B). By the 3-somite stage (C), there is specific expression in the polster (p). At 24 hpf (D), additional expression domains arise, including retina (r), midbrain (m), and hindbrain (h). By 46 hpf (E–G), expression continues in retina and brain, and is also strong in the liver (l, and arrow in panel E inset), pharynx (ph), gut (not shown), and pharyngeal arches (pa). The mosaic expression pattern in the pharyngeal arches is illustrated in panel G. This general pattern continues up to 5 dpf (H), with expression becoming more laterally restricted and segmented in the pharyngeal arches. A, B: animal pole at top. C–E, H: lateral views, anterior to the left. Inset in panel E: dorsal view, anterior to the left. F: transverse section. G: coronal section. | 
| Gene: | |
|---|---|
| Fish: | |
| Anatomical Terms: | |
| Stage Range: | 64-cell to Day 5 | 
Reprinted from Developmental Biology, 318(2), Anderson, M.J., Pham, V.N., Vogel, A.M., Weinstein, B.M., and Roman, B.L., Loss of unc45a precipitates arteriovenous shunting in the aortic arches, 258-267, Copyright (2008) with permission from Elsevier. Full text @ Dev. Biol.
 
        