FIGURE

Fig. 3

ID
ZDB-FIG-151215-12
Publication
Li et al., 2015 - Nr2f1b control venous specification and angiogenic patterning during zebrafish vascular development
Other Figures
All Figure Page
Back to All Figure Page
Fig. 3

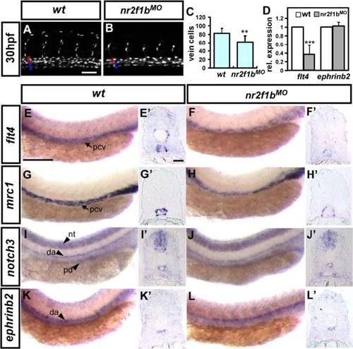
Nr2f1b modulates vein cell number and marker expression. a-c At 30 hpf, loss of nr2f1b function in Tg(fli1a:negfp) y7 embryos results in reduced vein cell number (b, blue bracket) as compared to uninjected wild type controls (a). The artery is marked by a red bracket. c Quantitative analysis shows a significant reduction in vein cell number in nr2f1b morphants. Compared to wild type controls. e, g, i, k, expression of the venous markers flt4 (f) and mrc1 (g) is reduced in the trunk of nr2f1b morphants at 24 hpf while there is no obvious change in the expression of arterial markers notch3 (i) and ephrinb2 (k). e′-l′ are cross sections of embryos in (e-l). d Quantification by qPCR shows a 60 % reduction in flt4 expression but no change in ephrinb2 expression in nr2f1b morphants (***refers to p < 0.0001 and **refers to p < 0.001 by an unpaired student′s t-test. Scale bars represent 50 µm in a, b, e-l and scare bar in cross-sections e′-l′ is 30 µm). Abbreviations: posterior cardinal vein (pcv), dorsal aorta (da), neural tube (nt) and pronephric ducts (pd).

Expression Data
Genes:
Fish:
Knockdown Reagent:
Anatomical Terms:
Stage: Prim-5

Expression Detail
Antibody Labeling
Phenotype Data
Fish:
Knockdown Reagent:
Observed In:
Stage Range: Prim-5 to Prim-15

Phenotype Detail
Acknowledgments
This image is the copyrighted work of the attributed author or publisher, and ZFIN has permission only to display this image to its users. Additional permissions should be obtained from the applicable author or publisher of the image. Full text @ J. Biomed. Sci.