FIGURE

Fig. 6

ID
ZDB-FIG-170922-19
Publication
Sugden et al., 2017 - Genetic dissection of endothelial transcriptional activity of zebrafish aryl hydrocarbon receptors (AHRs)
Other Figures
All Figure Page
Back to All Figure Page
Fig. 6

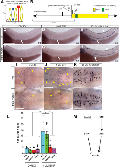
Transcriptional control of cxcr4a by AHR.

(A) Core DNA binding sequence of AHR::ARNT complex from JASPAR database. (B) Schematic of the zebrafish cxcr4a gene. Using strict search criteria (a relative profile score threshold of 90%), the promoter sequence spanning 2 kb from the start codon was analyzed for AHR binding sites in the JASPAR database. Two putative AHR binding sites lie close to the transcription start site (TSS). (C-H) Whole mount ISH for cxcr4a in WT and triple AHR mutant embryos treated from 48 hpf to 52 hpf with DMSO (C, F), 1 uM BNF (D, G) or 15 uM nifedipine (E, H). Arrows indicate subintestinal vasculature, while arrowheads point to DLAV. Scale bar is 250 um. (I-K) High magnification images of hindbrain capillaries in WTs and triple AHR mutants. Note similar levels of cxcr4a-positive CtAs (yellow arrowheads) in WTs and triple AHR mutants treated with DMSO (I), and markedly fewer cxcr4a-positive cells in triple mutants treated with BNF compared to WT (J). Both WTs and triple AHR mutants display marked increase in cxcr4a expression in all CtA endothelial cells after nifedipine treatment (K). Scale bar is 100 um. (L) Quantification of cxcr4a-positive endothelial cells in high magnification images of the hindbrain of WT, ahr1a -/-, ahr1b,2 -/- and triple AHR mutants treated from 48–52 hpf with DMSO or nifedipine. All genetic combinations of AHR mutations have similar numbers of cxcr4a-positive cells at basal levels. The BNF-induced increase of cxcr4a expression in WT still occurs in ahr1a -/- embryos, but does not show in ahr1b,2 -/- or triple AHR mutants. Analyzed by One-way ANOVA (DMSO treatment N = 4 WT, 12 ahr1a -/-, 13 ahr1b,2 -/- and 14 triple AHR fish. 1 uM BNF treatment N = 9 WT, 12 ahr1a -/-, 10 ahr1b,2 -/- and 6 triple AHR fish.) (M) Summary of transcriptional control of cxcr4a expression by flow (negative regulator) and BNF (positive regulator). Induction by BNF is in an AHR-dependent manner. **P<0.01, error bars indicate s.e.m. Abbreviations–AHR: aryl hydrocarbon receptor, ARNT: aryl hydrocarbon nuclear translocator, BNF: beta-naphthoflavone, CtA: central artery, CYP: cytochrome p450, DLAV: dorsal longitudinal anastomotic vessel, DMSO: dimethylsulfoxide, hpf: hours post fertilization, ISH: in situ hybridization, LDA: lateral dorsal aortae, PHBC: primordial hindbrain channel, TSS: transcription start site, WT: wildtype.

Expression Data
Gene:
Fish:
Conditions:
Anatomical Terms:
Stage: Long-pec

Expression Detail
Antibody Labeling
Phenotype Data
Fish:
Conditions:
Observed In:
Stage: Long-pec

Phenotype Detail
Acknowledgments
This image is the copyrighted work of the attributed author or publisher, and ZFIN has permission only to display this image to its users. Additional permissions should be obtained from the applicable author or publisher of the image. Full text @ PLoS One