FIGURE
Fig. 4
- ID
- ZDB-FIG-190827-31
- Publication
- Kim et al., 2019 - Knockout of longevity gene Sirt1 in zebrafish leads to oxidative injury, chronic inflammation, and reduced life span
- Other Figures
- All Figure Page
- Back to All Figure Page
Fig. 4
|
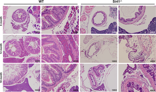
Microscopic observations of wildtype and Sirt1-/- adult zebrafish. H&E images of wildtype and Sirt1-/- zebrafish aged 6, 12, and 18 months. Sirt1-deficiency caused intestinal atrophy and inflammatory cell infiltration |
Expression Data
Expression Detail
Antibody Labeling
Phenotype Data
| Fish: | |
|---|---|
| Observed In: | |
| Stage: | Adult |
Phenotype Detail
Acknowledgments
This image is the copyrighted work of the attributed author or publisher, and
ZFIN has permission only to display this image to its users.
Additional permissions should be obtained from the applicable author or publisher of the image.
Full text @ PLoS One