FIGURE

Fig. 1 A

ID
ZDB-FIG-220218-1
Publication
Wu et al., 2021 - Inhibition of endoplasmic reticulum stress-related autophagy attenuates MCLR-induced apoptosis in zebrafish testis and mouse TM4 cells
Other Figures
All Figure Page
Back to All Figure Page
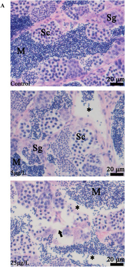
Fig. 1 A

Effects of MCLR induced pathohistological damage in zebrafish testes. (A) Histopathological changes in the testes of male zebrafish after exposed to MCLR for 30 days. M: mature sperm, Sc: spermatocyte, Sg: spermatogonia; widen interstitial space (arrow), cellular vacuolation (*). The scale bars: 20 µm.(B)The ultrastructure of zebrafish testis were observed by transmission electron microscope. Swollen mitochondria (*); Vacuoles (△); autophagic vacuoles (★); nuclear heterogeneity (▲); hyperplasia of endoplasmic reticulum associated with mild expansion (arrow); Compared with the control group, the intercellular space was increased significantly (○) and the sperm morphology is obviously abnormal (#).

Expression Data

Expression Detail
Antibody Labeling
Phenotype Data
Fish:
Condition:
Observed In:
Stage: Adult

Phenotype Detail
Acknowledgments
This image is the copyrighted work of the attributed author or publisher, and ZFIN has permission only to display this image to its users. Additional permissions should be obtained from the applicable author or publisher of the image. Full text @ Ecotoxicol. Environ. Saf.