IMAGE

Fig. 2

ID
ZDB-IMAGE-090309-5
Genes
Source
Figures for Petrie-Hanson et al., 2009
Image
Figure Caption

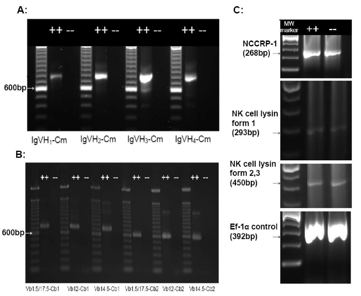
Fig. 2 RT-PCR analyses of mutant and wild-type zebrafish kidney hematopoietic tissue. Evaluation of expression of Immunoglobulin (Ig) heavy chain gene rearrangements, T-cell receptor (TCR) β chain rearrangements, NK-Lysin, NCC Receptor Protein-1 (NCCRP-1), and transcription elongation factor 1-α (EF1-α, as a positive control) in mutant and wild-type zebrafish by RT-PCR. (A) Nested RT-PCR using primers spanning VDJ-Cm in Ig VH1-VH4 [16]. (B) Nested RT-PCR using primers spanning TCR V(D)J-Cβ [16]. (C) RT-PCR was used to analyze mRNA expression using primers specific for NCCRP-1, NK lysin form 1, NK lysin forms 2 and 3 and EF1-α (primers are listed in Table 1). All RT-PCR assays included no-RT controls and no product was obtained (data not shown).

Figure Data
Acknowledgments
This image is the copyrighted work of the attributed author or publisher, and ZFIN has permission only to display this image to its users. Additional permissions should be obtained from the applicable author or publisher of the image.
Open Access.
Full text @ BMC Immunol.