IMAGE

Figure 3

ID
ZDB-IMAGE-211209-42
Genes
Antibodies
Source
Figures for Li et al., 2021
Image
Figure Caption

Figure 3

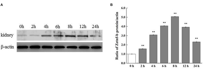
Western blotting of Zetnf-b protein in kidney of zebrafish infected by V. vulnificus at different time points. (A) Western blotting of Zetnf-b protein in the kidney of zebrafish infected by V. vulnificus at different time points. Kidney of mock-infected zebrafish was marked as “0 h” and used as the control. Polyclonal antibody of Zetnf-b (1:1,000) and rabbit polyclonal anti-β-actin (1:1,000) were used as the primary antibody. (B) The ratio of Zetnf-b protein/actin. Data are presented as mean ± standard error (SE) from three independent experiments. ** Indicate significant difference at **P < 0.01.

Figure Data
Acknowledgments
This image is the copyrighted work of the attributed author or publisher, and ZFIN has permission only to display this image to its users. Additional permissions should be obtained from the applicable author or publisher of the image. Full text @ Front Vet Sci