IMAGE

Fig. 7.

ID
ZDB-IMAGE-241218-54
Source
Figures for Desingu Rajan et al., 2024
Image
Figure Caption

Fig. 7.

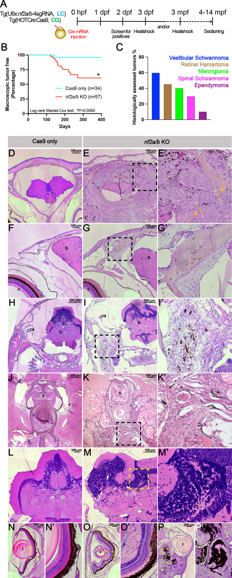
nf2a/b knockout leads to tumors in adult zebrafish. (A) Schematic representing the experimental strategy. (B,C) Graphs representing tumor-free survival in Cas9-only and nf2a/b knockout fishes (B) (log rank Mantel–Cox test; *P=0.0095; performed using GraphPad Prism) and histological assessment of tumors (C). Histological assessment was performed for n=12 fish and represents the overall incidence of each tumor type. Few fish developed multiple tumors. (E-P′) Transverse sections of nf2a/b knockout adult zebrafish show meningioma (E,E′), skull bone thickening (G,G′), vestibular Schwannoma (I,I′), trunk Schwannoma (K,K′), ependymoma (M,M′), epiretinal membrane (O,O′) and retinal hamartoma (P,P′). Cas9-only sections (D,F,H,J,L,N) are shown for comparison. Black and yellow dashed line boxes outline the zoomed regions. The majority of the tumor samples display abundant melanocytes within the tumors. b, brain; ca, crista anterior; e, eye; l, lens; s, spinal cord. Yellow asterisks indicate the cranium; yellow dashed lines indicate meningioma penetrating the cranium.

Figure Data
Acknowledgments
This image is the copyrighted work of the attributed author or publisher, and ZFIN has permission only to display this image to its users. Additional permissions should be obtained from the applicable author or publisher of the image. Full text @ Dis. Model. Mech.