FIGURE SUMMARY
Title

Generation of a zebrafish neurofibromatosis model via inducible knockout of nf2

Authors
Desingu Rajan, A.R., Huang, Y., Stundl, J., Chu, K., Irodi, A., Yang, Z., Applegate, B.E., Bronner, M.E.
Source
Full text @ Dis. Model. Mech.

nf2a/b is expressed in the cranial neural crest cells and mesenchyme. (A,B,C,D,E) Multiplexed fluorescent mRNA in situ hybridizations by hybridization chain reaction (HCR) reveal expression of nf2b, nf2a and sox10 in whole-mount embryos at 1 dpf. (A′,B′,C′,D′,E′) Magnified images of the regions in the white dashed line boxes in A, B, C, D and E (yellow arrows indicate overlap of nf2b and sox10 expression; red arrows indicate the ectodermal epithelial cell), (F-H,I-K) nf2b, nf2a and foxc1a in cryo-sectioned embryos at 1 days post fertilization (dpf). (H′,K′) Magnified images of the regions in the white dashed line boxes in H and K, respectively (yellow arrowheads indicate overlap of nf2b and foxc1a expression). Images are representative of n=5 embryos. DAPI (gray) was used as a counterstain. Images in A, B, C, D and E represent maximum-intensity projections of whole-mount embryos and those in A′′, B′, C′, D′ and E′ represent confocal planes of 2.3 μm thickness. F-H and I-K are histological sections of 12 μm thickness imaged with Apotome. Red asterisk indicates the optic cup; yellow asterisks indicate the midbrain–hindbrain border.

nf2a/b is expressed in Schwann cells and meninges. (A) Schematic representing the posterior lateral line Schwann cells (pLLn SCs; white dashed line box) and sectioned regions (black dashed lines) at 3 dpf. (B-F) Multiplexed fluorescent mRNA in situ hybridizations by HCR on whole-mount embryos reveal expression of nf2b, nf2a and sox10 in a Schwann cell cluster at 3 dpf. Yellow arrows indicate cells that have both sox10 and nf2 expression. White dashed lines indicate pLLn SCs expressing sox10. (G-I,J-L) Multiplexed fluorescent mRNA in situ hybridizations by HCR on cryo-sectioned embryos reveal expression of nf2b, nf2a and foxc1b in the cranial meninges at 3 dpf. (I′,L′) Magnified images of the regions in the white dashed line boxes in I and L, respectively. Yellow dashed lines mark the meninges layer in close proximity to the brain; yellow arrowheads indicate cells that have both foxc1b and nf2 expression. Images are representative of n=7 embryos. Images in B-F represent confocal planes of 5 μm thickness. G-L are histological sections of 12 μm thickness imaged with Apotome. DAPI (gray) was used as a counterstain. b, brain; e, eye.

Strategy for generation of conditional knockouts for nf2b and nf2a. (A) Schematic of the strategy used to generate nf2a/b knockouts. (B,C) Schematics of target regions and pie charts represent percentages of mutated reads in nf2b (B) and nf2a (C) knockout embryos. CG, cardiac green fluorescent protein; LC, lens cerulean.

nf2a/b knockout leads to increased meningeal proliferation. (A) Schematic representing the experimental strategy. Blue dashed line box in the 3 dpf zebrafish schematic indicates the imaged region. (B-G) Confocal images of the cranial region of 3 dpf Cas9-only (B-D) and nf2a/b knockout (E,F,G) embryos show the overlap of meningeal marker igfbp2a and proliferation marker pH3. (E′,F′,G′) Yellow dashed line boxes show the magnified region of the overlap in the nf2a/b knockout embryos. (H) Bar plot showing quantification of normalized proliferation (*P=0.0197; each dot represents data from one larva). Normalized proliferation=Igfbp2a and pH3 double-positive cells/total pH3-positive cells in the analyzed region. Each dataset was compared using unpaired two-tailed Student's t-test in GraphPad Prism. Error bars indicate s.e.m. across n=7 embryos. White dashed line marks the boundary between the brain and meninges. Images in B-E, F and G represent maximum-intensity projections of confocal planes in whole-mount embryos. E′, F′ and G′ represent confocal planes of 3.2 μm thickness. DAPI (gray) was used as a counterstain. b, brain; KO, knockout; pH3, phospho-histone 3.

nf2a/b knockout leads to Schwann cell hyperplasia. (A) Schematic representing the experimental strategy. (B-I) Confocal images of the pLLn SCs of Cas9-only controls (B-E) and nf2a/b knockout (F-I) embryos at 3 dpf and 5 dpf. pLLn SCs are labeled by Tg(sox10:mRFP) (magenta) and counterstained by DAPI (gray). Images represent confocal maximum-intensity projections of whole-mount embryos. (J,K) Bar plots showing quantification of the Sox10-positive pLLn SCs at 3 dpf (J) and 5 dpf (K) (ns, not significant; ****P<0.0001; each dot represents data from one larva). Each dataset was compared using unpaired two-tailed Student's t-test in GraphPad Prism. Error bars indicate s.e.m. across n=10 embryos. Each dot represents average of counts from three regions of pLLn SCs per embryo.

Knockout of nf2a/b leads to hyperpigmentation. (A) Schematic representing the experimental strategy. (B-I) Lateral and dorsal bright-field images of Cas9-only control (B-E) and nf2a/b knockout (F-I) embryos at 3 dpf and 6 dpf. Green arrows indicate increased melanophores in cranial region; red arrows indicate migratory melanophores. Numbers represent phenotypes across n=3 independent experiments.

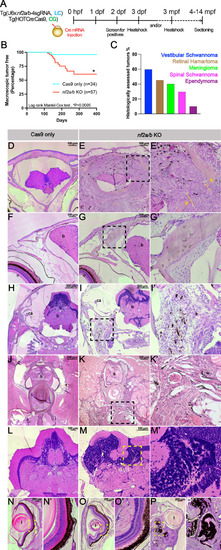
nf2a/b knockout leads to tumors in adult zebrafish. (A) Schematic representing the experimental strategy. (B,C) Graphs representing tumor-free survival in Cas9-only and nf2a/b knockout fishes (B) (log rank Mantel–Cox test; *P=0.0095; performed using GraphPad Prism) and histological assessment of tumors (C). Histological assessment was performed for n=12 fish and represents the overall incidence of each tumor type. Few fish developed multiple tumors. (E-P′) Transverse sections of nf2a/b knockout adult zebrafish show meningioma (E,E′), skull bone thickening (G,G′), vestibular Schwannoma (I,I′), trunk Schwannoma (K,K′), ependymoma (M,M′), epiretinal membrane (O,O′) and retinal hamartoma (P,P′). Cas9-only sections (D,F,H,J,L,N) are shown for comparison. Black and yellow dashed line boxes outline the zoomed regions. The majority of the tumor samples display abundant melanocytes within the tumors. b, brain; ca, crista anterior; e, eye; l, lens; s, spinal cord. Yellow asterisks indicate the cranium; yellow dashed lines indicate meningioma penetrating the cranium.

Acknowledgments
This image is the copyrighted work of the attributed author or publisher, and ZFIN has permission only to display this image to its users. Additional permissions should be obtained from the applicable author or publisher of the image. Full text @ Dis. Model. Mech.