IMAGE

Fig. 5

ID
ZDB-IMAGE-070822-42
Genes
Source
Figures for Lepilina et al., 2006
Image
Figure Caption

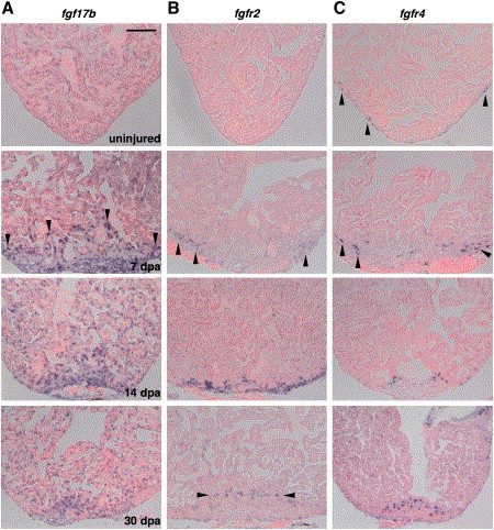
Fig. 5 Expression of fgf17b, fgfr2, and fgfr4 during Heart Regeneration (A) Expression of fgf17b in the uninjured, 7, 14, and 30 dpa heart visualized by ISH. Weak, perinuclear expression was observed in uninjured ventricular CMs. Starting at 7 dpa, myofibers at the apical edge of the regenerate showed enhanced fgf17b expression (arrowheads), as did other cells within and around the injury. This augmentation persisted in regenerating muscle through 30 dpa. (B) Expression of fgfr2 during heart regeneration. While the uninjured ventricle showed no fgfr2 expression, epicardial cells induced fgfr2 upon entering the wound at 7 dpa (arrowheads), where expression was strongest at 14 dpa. By 30 dpa, faint expression was observed in isolated cells within the regenerate (arrowheads). (C) fgfr4 is expressed in a small number of epicardial or subepicardial cells on the uninjured ventricle (arrowheads) and induced in cells adjacent to regenerating muscle at 7 dpa and 14 dpa. fgfr4-expressing cells remain detectable in the regenerate by 30 dpa; in this image, fgfr4 expression in the valve can also be observed (upper right corner). Scale bar = 100 μm.

Figure Data
Acknowledgments
This image is the copyrighted work of the attributed author or publisher, and ZFIN has permission only to display this image to its users. Additional permissions should be obtained from the applicable author or publisher of the image.

Reprinted from Cell, 127(3), Lepilina, A., Coon, A.N., Kikuchi, K., Holdway, J.E., Roberts, R.W., Burns, C.G., and Poss, K.D., A Dynamic Epicardial Injury Response Supports Progenitor Cell Activity during Zebrafish Heart Regeneration, 607-619, Copyright (2006) with permission from Elsevier. Full text @ Cell