- Title
- 
    
        
                    A Zebrafish Model for Studies on Esophageal Epithelial Biology
- Authors
- Chen, H., Beasley, A., Hu, Y., Chen, X.
- Source
- Full text @ PLoS One
| 
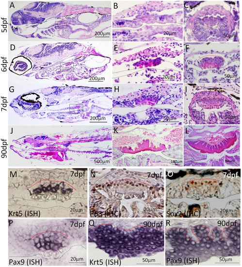
 Identification of a non-keratinized stratified squamous epithelium in zebrafish upper digestive tract.(A-L) H&E staining of paraffin sections of zebrafish at 5, 6, 7 and 90 dpf shows the histogenesis of the squamous epithelium. A, D, G and J are the sagittal sections of the whole fish. B, E, H and K are magnifications of the areas in the yellow rectangles in A, D, G and J. Transverse sections show the histology of the squamous epithelium at 5, 6, 7 and 90 dpf (C, F, I, L). ISH for Krt5 (M, Q), IHC for P63 (N), IHC for Sox2 (O) and ISH for Pax9 (P, R) on transverse sections at 7dpf show the expression of esophageal genes in developing and adult zebrafish. All the pictures are dorsal side up. Base membrane of the squamous epithelium is marked with red dotted line and esophageal lumen is lined with black dotted line. | 
| 
 Phenotype of P63 knockdown zebrafish at 7dpf.(A) IHC for P63 protein on ESQE of zebrafish injected with control MOs. (B) IHC for P63 on ESQE of P63 knockdown zebrafish. (C) Normal zebrafish with pectoral fins (dorsal view). (D) Loss of pectoral fins in P63 knockdown zebrafish (dorsal view). (E) Normal ESQE. (F) Defective ESQE in a P63 knockdown zebrafish. (G) RT-PCR for P63 shows the un-spliced P63 transcript in MO injected zebrafish at 3, 5 and 7dpf. (H) Quantification shows a significant decrease of the number of ESQE cells in P63 knockdown zebrafish as compared with controls. All the pictures are dorsal side up. Base membrane of the squamous epithelium is marked with red dotted line and esophageal lumen is lined with black dotted line. | 
| 
 Expression of Pax9 in zebrafish ESQE and phenotypes of Pax9 knockdown zebrafish at 7dpf.(A) Normal zebrafish (Lateral view). (B) Pax9 knockdown fish with malformation of the lower jaw (Lateral view). (C) Alcian blue staining shows the orofacial cartilage of normal zebrafish (lateral view). (D) Alcian blue staining shows the malformed cartilage of Pax9 knockdown zebrafish (lateral view). (E) Normal ESQE in zebrafish. (F) Disorganized ESQE in a Pax9 knockdown zebrafish. (G) Krt5 ISH on normal zebrafish ESQE. (H) Krt5 ISH on Pax9 knockdown zebrafish ESQE. (I) Krt4 ISH on normal zebrafish ESQE. (J) Krt4 ISH on Pax9 knockdown zebrafish ESQE. (K) RT-PCR for Pax9 shows the un-spliced Pax9 transcript in MO injected zebrafish at 3, 5 and 7dpf. (L) Quantification shows a significant decrease of the number of ESQE cells in Pax9 knockdown zebrafish as compared with controls. (M) A schematic cartoon of normal zebrafish ESQE at 7dpf. (N) A schematic cartoon of Pax9 knockdown zebrafish ESQE at 7dpf. ep, ethmoid plate; ch, ceratohyal; mk, Meckel’s cartilage; tr, trabeculae. All the pictures are dorsal side up. Base membrane of the squamous epithelium is marked with red dotted line and esophageal lumen is lined with black dotted line. | 
| 
 H&E staining on serial transverse sections containing all the esophageal squamous epithelium of 7dpf zebrafish. The sections show the histology of pharynx (A), esophagus (B-O) and intestine (P). There are 9 sections containing the stratified squamous epithelium (C-K). Scare bar:5µm. | 
 
         
                 
                 
                