FIGURE

Fig. S1

ID
ZDB-FIG-161208-4
Publication
Topczewska et al., 2016 - The Morphogenesis of Cranial Sutures in Zebrafish
Other Figures
All Figure Page
Back to All Figure Page
Fig. S1

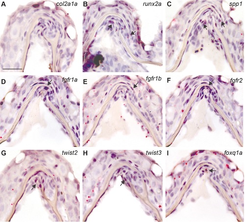
RNA detection for genetic markers of osteoblasts in juvenile animals assessed using RNAscope in situ hybridization on paraffin section.

(A-I) Sequential sections (4 μm) of the interfrontal suture collected from juvenile zebrafish at age of 6 wpf. The expression of individual genes is visualized in red, counterstained with haematoxylin for nuclei in purple; black arrows indicate assumed positive expression. The expression of following genes is shown: (A) col2a1a, (B) runx2a, (C) spp1, (D) fgfr1a, (E) fgfr1b, (F) fgfr2, (G) twist2, (H) twist3, (I) foxq1a. The scale bar represents 20 μm.

Expression Data
Genes:
Fish:
Anatomical Terms:
Stage: Days 30-44

Expression Detail
Antibody Labeling
Phenotype Data

Phenotype Detail
Acknowledgments
This image is the copyrighted work of the attributed author or publisher, and ZFIN has permission only to display this image to its users. Additional permissions should be obtained from the applicable author or publisher of the image. Full text @ PLoS One