FIGURE

Fig. S2

ID
ZDB-FIG-161208-5
Publication
Topczewska et al., 2016 - The Morphogenesis of Cranial Sutures in Zebrafish
Other Figures
All Figure Page
Back to All Figure Page
Fig. S2

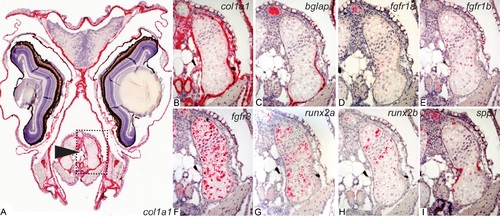
The RNA in situ detection in ceratohyal cartilage at 6 wpf evaluated by RNAscope technique.

The images of the ceratohyal cartilage (dotted box and black arrowhead in A) collected from the tissue sections used for the interfrontal suture analysis shown in Fig 6 and S1 Fig. The expression of individual genes is visualized in red, counterstained with haematoxylin for nuclei in purple. The expression pattern of (A, B) col1a1a, (C) bglap, (D) fgfr1a, (E) fgfr1b, (F) fgfr3, (G) runx2a, (H) runx2b, (I) spp1.

Expression Data
Genes:
Fish:
Anatomical Term:
Stage: Days 30-44

Expression Detail
Antibody Labeling
Phenotype Data

Phenotype Detail
Acknowledgments
This image is the copyrighted work of the attributed author or publisher, and ZFIN has permission only to display this image to its users. Additional permissions should be obtained from the applicable author or publisher of the image. Full text @ PLoS One